Назад
Личный кабинет
Недавние
Посмотреть позже
Мои видео
Выход
Личный кабинет
Разделы сайта
Видео
Онлайн трансляции
Фотоальбомы
Мероприятия
Интервью
Спикеры
Аудиокниги
Проекты
Час с урологом
Ординаторская
Тяжелый случай
Планерка
Авторские проекты
Journal Club
Bridge
Об урологии начистоту
Интернет-конференция
О нас
Политика конфиденциальности
Персональные данные
Партнеры
Скачивайте наше
приложение на IOS и Android
Подписка на новости
E-mail
Даю свое согласие на обработку моих персональных данных
Видео
Онлайн-трансляции
Спикеры
Проекты
Урологический информационный портал
Профессиональное образование в урологии
Дайджест урологии
Журнал «Экспериментальная и клиническая урология»
Все видео
Лекции и вебинары
Все
2026
2025
2024
2023
2022
2021
2020
2019
2018
2017
2016
2015
2014
2013
2012
Капто А.А., Виноградов И.В. Синдром венозного полнокровия органов малого таза при варикоцеле.
19 дек 2017
1555
21
Заседание ДОК «АСПЕКТ» в Москве
Москва
09 December
4760
9
Мастер-класс «Хирургические возможности современной урологии»
Краснодар
03 December
3317
11
Мастер-класс «Аденома предстательной железы - от терапии к хирургии»
Москва
24 November
3421
5
Мастер-класс «Реконструктивные дни в Первой градской больнице»
Москва
21-24 November
3274
5
Заседание ДОК «АСПЕКТ» г. Саратов
Саратов
07 November
3864
Коган М.И. - Простатическая боль в рамках синдрома хронической тазовой боли. Что понятно, а что нет?
03 ноя 2017
2054
Интервью с Арустамовым Левоном Дмитриевичем на тему "Мочекаменная болезнь у детей"
01 ноя 2017
3503
"Хронический простатит и фертильность: место регуляторных пептидов" - интервью с Монаковым Д.М.
25 окт 2017
1776
3
Первое заседание СНК
Москва
13 October
4034
10
Дискуссионный клуб Ассоциации «АСПЕКТ», Звенигород
Звенигород
05 October
3552
2
Мастер-класс "Хирургическое лечение гиперплазии простаты"
Грозный
29 September
3383
Капто А.А. Варикозная болезнь вен органов малого таза.
25 сен 2017
2107
Литвинов В.В. - Четыре розы... вместо нобелевской премии или невыдуманная история забытой сенсации
07 авг 2017
1116
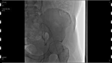
Капто А.А. МРТ, ангиопластика и стентирование у мужчины при May-Thurner syndrome.
02 авг 2017
2010
Час с ведущим урологом: Коршунова Е.С. - Урологические проблемы неврологических больных.
01 авг 2017
2089
14
Пленум урологов Казахстана 2017
Алма-Ата
27 July
2993
24
Междисциплинарная научно-практическая конференция с МУ «Новые технологии в диагностике и лечении урологических заболеваний» и II Конгресс урологов ОАО «РЖД»
Москва
11 July
2833
Капто А.А. Габлия М.Ю. Ангиопластика и стентирование у мужчины при May-Thurner Syndrome.
07 июл 2017
1912
42
IV Конгресс Ассоциации Молодых Урологов России
Казань
04 July
72373
Капто А.А. Рентгенэндоваскулярная ангиопластика и стентирование у мужчины при варикозной болезни вен малого таза.
22 июн 2017
1981
Нестандартные подходы в андрологии - интервью с Ефремовым Е.А.
16 июн 2017
2262
Вечный уролог. Урология как искусство!
16 июн 2017
21982
Детская урология индивидуальный подход к каждому пациенту. Интервью с Крамаревой К.И.
06 июн 2017
1704
Еще видео